歯の黄ばみ治療

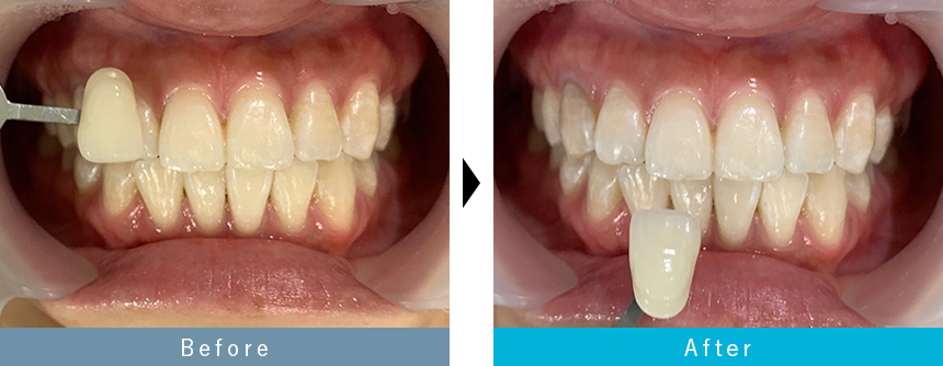
歯の黄ばみ治療のピックアップ症例
歯の黄ばみが起こる原因
歯の黄ばみは、生活習慣や加齢など複数の要因が重なって起こります。
ここでは代表的な原因を詳しく解説します。

飲食
コーヒー、紅茶、赤ワイン、カレーといった色の濃い飲食物には、ポリフェノールなどの色素が多く含まれています。これらの色素は歯の表面に付着して「ステイン」となり、積み重なることで黄ばみを引き起こします。

磨き残し
歯磨きを怠ったり、磨き残しがあると、歯の表面に歯垢や歯石が蓄積します。これらは食べ物や飲み物の色素を吸着しやすく、時間とともに沈着して黄ばみの原因になります。

タバコ
タバコに含まれるタールは非常に粘着性が高く、歯の表面にこびりついて黄ばみを生じさせます。喫煙者特有の「ヤニ汚れ」と呼ばれる強い着色は、通常の歯磨きでは落とすことが難しいことがあります。

加齢
加齢によって歯の表面にあるエナメル質は徐々に薄くなり、その下にある象牙質の黄色みが透けて見えるようになります。象牙質自体も年齢とともに色が変化していくため、歯が黄ばんで見える原因になります。
セルフでできる歯の黄ばみケア方法
歯の黄ばみは、セルフケアでもある程度の改善を目指せます。例えば、ホワイトニング用歯磨き粉やペン型ホワイトニング、ホワイトニングシートなどは、手軽に実践でき、安価で日常的に取り入れやすい方法です。ただし、これらは本来の歯の白さを取り戻す効果や汚れを落とす効果にとどまり、大きな変化は期待できません。
一方で、歯科医院でおこなう医療ホワイトニングは、高濃度の薬剤を使用するため本来の歯以上の白さを目指せます。


美容歯科では
より効果的な歯の黄ばみ治療が可能
医療機関でしかできない歯の黄ばみ治療
歯の内部まで作用し、象牙質の黄ばみの改善や本来の歯の白さ以上の審美性を実現できるのは
医療機関での治療のみです。根本から歯の黄ばみを改善できる治療をご紹介します。
医療ホワイトニング
医療ホワイトニングは、歯を削ることなく白さを取り戻せる歯科医院で受けられる黄ばみ治療です。高濃度の薬剤と専用のライトを用いることで、短時間で効果的に歯を白くできます。歯の内側から働きかけるため、表面の汚れを落とすクリーニング以上に白さを実感できるのがメリットです。

医療ホワイトニングのポイント

POINT
汚れを落とす
「クリーニング」
以上の白さを
実感
POINT
ホワイトニング
薬剤が
黄色い色素を
分解
POINT
より白い歯に
見える
マスキング効果
医療ホワイトニングは
こんな人におすすめ
- 本来の歯の白さ以上の審美性を求める方
- セルフケアでは効果を得られなかった方
- 清潔感の白い歯を手に入れたい方
- 営業職や接客業に従事している方
- 結婚式や成人式を控えている方
SBCパウダージェット
クリーニング
SBCパウダージェットクリーニングは、ジェット水流に専用のエアフローパウダーを加えた高性能なクリーニング施術です。通常のジェットクリーニングよりも着色汚れやステインの除去力が高く、歯本来の明るさを取り戻すことができます。虫歯や歯周病、口臭の予防といった健康面でも効果が期待できます。

SBCパウダージェットクリーニングのポイント

POINT
歯の着色汚れを
1日で除去
POINT
虫歯や歯周病、
口臭予防も可能
POINT
施術時の
痛みもなく安心
SBCパウダージェット
クリーニングは
こんな人におすすめ
- セルフで落とせない着色汚れを落としたい方
- 歯の汚れが気になり口元が気になる方
- 歯の汚れによる口臭が気になる方
- 定期的に虫歯予防のためのクリーニングがしたい方
- 1回の施術で汚れを確実に落としたい方
セラミック治療
セラミック矯正は、気になる歯を削ってセラミック製のかぶせ物を装着し、歯並びや歯の形を整える治療です。さらに天然歯のような自然な色調に調整できるため、黄ばみをカバーして美しい仕上がりを実現できます。歯の大きさや形、角度、色合いまで細かくデザインでき、機能性と審美性を兼ね備えた矯正方法です。
セラミック治療のポイント

POINT
短期間で歯並びや
色味も改善
POINT
色・形・
大きさ・角度
なども整う
POINT
矯正中の痛みの
心配なし
セラミック治療は
こんな人におすすめ
- 歯の色も歯並びも一緒に改善したい方
- 黄ばみだけでなく白さや透明感も変えたい方
- 結婚式などのイベントに間に合わせたい方
- 差し歯や銀歯をセラミック歯に変えたい方
- 短期間で清潔感のある口元にしたい方
湘南美容歯科の歯の黄ばみ治療比較表
医療ホワイトニング・SBCパウダージェットクリーニング・セラミック治療の、
それぞれの特徴を以下の比較表にまとめました。
| 種類 | 医療ホワイトニング | SBCパウダージェット クリーニング | セラミック治療 |
|---|---|---|---|
| 施術範囲 | 歯を漂白して”本来の白さ”に戻す、 "白さ"を改善する方法 | ジェット水流+エアロパウダーで歯のステインや汚れを除去する方法 | 歯を削ってセラミックの被せ物を装着し、歯並び・形・色・透明感を改善する方法 |
| 治療期間 | オフィス: 1回照射(10分x3回)で即効性あり ホームとの併用(デュアル): 1ヶ月程度 | 一回の施術で完了(即日) 所要時間は短時間/1日 | 1~4ヵ月程度 |
| 費用 | オフィス(スタンダード): 約19,800円~49,800円/回 ホームホワイトニング:25,250円 プレミアム(デュアル):約45,050円 | 1回5,000円(税込) | 1本あたり:89,800円~150,000円 |
| 見た目 | 脱色による歯本来の自然な白さ | 着色汚れがなくなり歯本来の色・光沢が回復 | 形・色・サイズ ・透明感までコントロール可能で、 非常に審美的 |
| 痛み | 一時的な疼痛の可能性あり | 通常は痛みなし (ただし、歯茎の腫れや歯石多い場合は痛みや出血の可能性あり) | 痛みはほぼない |
| 適応症例 | 軽度~中度の歯の黄ばみ | 軽度の歯の黄ばみ | 中度~重度の歯の黄ばみ |
| おすすめの人 | ・短期間で歯の白さを | ・自力では落としづらい着色汚れを | ・歯の形・色・見た目を |
湘南美容歯科の歯の黄ばみ治療は
組み合わせも可能
ホワイトニングとセラミック矯正の併用で、歯の黄ばみと歯並びを同時に改善できます。
部分的にセラミックで黄ばみとガタツキを治し、その他の天然歯はホワイトニングで白さを調整できます。
ホワイトニングを用いた歯の黄ばみ治療の流れ
無料カウンセリング・診察

口腔内検査・クリーニング

治療開始

経過観察

当院の歯の黄ばみ治療の料金
医療ホワイトニングの料金
| 施術の種類 | スタンダード(オフィス) ホワイトニング | ホームホワイトニング | プレミアムホワイトニング (オフィス+ホーム併用) |
|---|---|---|---|
| 料金 | 通常価格 1回(10分×3回照射) 19,800円(税込) モニター価格 1回(10分×3回照射) 13,800円(税込) | ホームホワイトニングキット 上下トレー・ジェル 付2本 25,250円(税込) | 10分x3回照射+ホームホワイトニング 45,050円(税込) |
セラミック治療の料金
| 施術名 | ダイヤモンドクラウン (ジルコニア) | プレミアムダイヤモンド セラミック | ダイヤモンドオーダー セラミック |
|---|---|---|---|
| 料金 1本 | 1本セット 89,800円(税込) | 1本セット 120,000円(税込) | 1本セット 150,000円(税込) |
歯の黄ばみ治療に関するよくある質問
歯の黄ばみ治療は何回程度で白くなりますか?
治療方法によって異なります。
パウダージェットクリーニングは1回でも汚れや着色の除去が期待でき、ホワイトニングは1回でワントーン程度、複数回でより白く改善します。 セラミック矯正は人工歯を用いるため、治療完了時に理想の白さを得られ、その状態を長く維持できます。
歯の黄ばみ治療後、白さはどれくらい持続しますか?
歯の白さの持続性は、治療後のケアによって異なります。色の強い飲食に気を付け、歯磨きを意識的におこなうことが重要です。
治療中に痛みを感じることはありますか?
いずれの治療も大きな痛みはほとんどありません。
パウダージェットクリーニングは刺激が少なく、ホワイトニングではまれにしみる感覚が出る場合があります。
セラミック矯正は麻酔を使用するため、治療中の痛みはほぼ感じません。
ドクターコメント

歯科統括院長
前田純医師
歯の黄ばみは、多くの方が抱える身近なお悩みです。当院ではホワイトニングやクリーニング、セラミック治療など、患者さま一人ひとりのお悩みに合わせて最適な治療法をご提案しています。セルフケアでは改善しにくい黄ばみも、当院の安全で効果の高い治療によって、清潔感のある白い歯へと導くことができます。
結婚式や写真撮影など大切なご予定に向けて、気になることがあればお気軽にご相談ください。
歯科統括院長
前田純医師


























こんなお悩み
ありませんか?