医療機関でしかできない
ホワイトニング
湘南美容歯科のホワイトニングが選ばれる理由
医療機関だからこその
高い効果と安全性歯科医師や歯科衛生士が施術を担当するため、専門的な知識と技術で安全性が高く、しっかりとした効果を実感いただけます。
豊富な症例件数
ホワイトニングの症例実績
53,108件
※2025年6月末現在
これまで多くの方にホワイトニング治療を行ってきた実績があり、症例数に基づく経験を活かした施術が可能です。
全国9クリニックでの展開
全国9院にクリニックがあるため、通いやすく継続してケアを受けやすい環境が整っています。
短期間で持続力の高い白さを実感可能
医療機関ならではの高濃度薬剤を使用するため、短期間でしっかりとした白さが得られ、その効果も長持ちします。
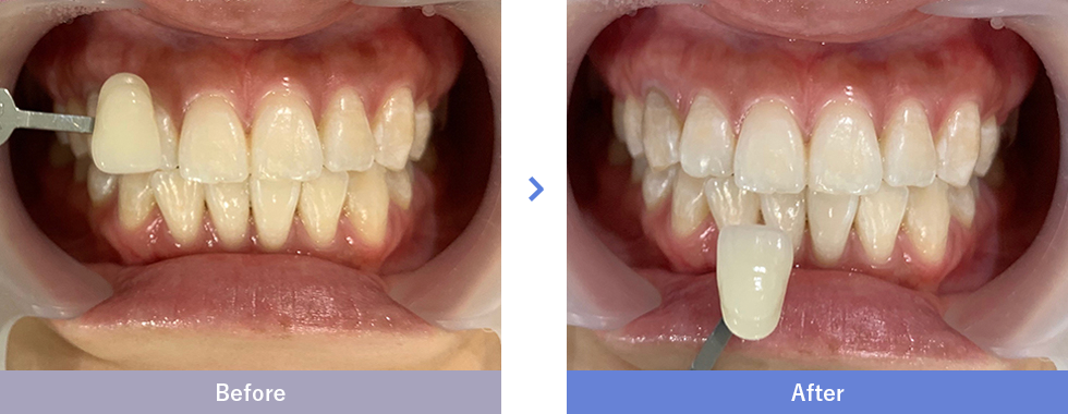
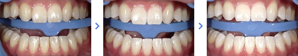
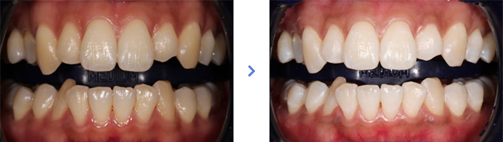
ホワイトニングのピックアップ症例

ホワイトニングとは
歯を削ることなく、
輝く白い歯がよみがえる
医療機関でしかできない治療法です。
加齢や遺伝、食生活などによって変色した歯を漂白剤で脱色して白くする方法です。
コーヒーやタバコなどで変色してしまった歯に有効で、
最近ではホワイトニングをするという方も増えてきています。
歯の白さは清潔感、第一印象の向上にもつながり、営業職や接客業などの方にもおすすめです。



医療機関のホワイトニングは、歯の内側から歯を白くする治療ため、
歯の表面の汚れのみを落とす「クリーニング」以上に白さを実感できます。
また矯正治療と組み合わせるとより審美性も高めることができます。
ご自身でおこなっていたセルフホワイトニングで十分な効果が得られず後悔したという方にもおすすめです。
ホワイトニングをするメリット
- 歯が白いと健康的で若々しい印象になる
- 歯が白いと清潔感があって異性・同性に限らず好印象
- 笑顔が増え、明るくなれる
- 肌がきれいに見える
- 結婚式や成人式など写真撮影で綺麗な笑顔を残せる
実際にホワイトニング治療をしたい
と
答えた人は
以上も!

26% ホワイトニング
治療意向
受けたい

この中でも10代・20代はホワイトニングをやってみたいと答えた人が77%
※2017年マクロミル社調査15歳〜69歳女性
美容外科、エステサロンに行ったことがある方、行ってみたい方13,427人の回答結果
ホワイトニング治療で歯が白くなる仕組み
ホワイトニング薬剤が色素を分解
ホワイトニングジェルの主成分である過酸化水素・過酸化尿素はエナメル質内の黄色い色素を無色透明に分解します。これにより歯の黄ばみが漂白され、輝く白い歯になります。


マスキング効果で、より白い歯に見える
マスキング効果とよばれるものもあります。
マスキング効果は、歯の表面のエナメル質を一時的に細かい凹凸のあるすりガラス状に変化させ、光を乱反射することで歯の内側の象牙質を見えなくするというものです。このマスキング効果により、一層歯が白く見える様になります。


ホワイトニングの料金
※モニターには適応審査がございます。
また、モニターの取り扱いがない院もございますので、詳細についてはお電話または無料カウンセリングにてお問合せください。
| 通常価格19,800円 モニター価格13,800円 |
| 通常価格49,800円 モニター価格39,800円 |
| ホームホワイトニングキット 【上下トレー・ジェル 2本付】 | 25,250円 |
|---|---|
| 追加ジェル1本 | 3,030円 |
ホワイトスポット治療(iCON)
| 通常価格30,780円 モニター価格29,800円 |
ホワイトニング治療に関する動画
(ホームホワイトニング)
この動画では、当院のホワイトニング治療についての効果や流れをわかりやすく解説しています。
ホワイトニングの症例写真
ホワイトニング治療の流れ
カウンセリング・診察
また患者様が抱える悩みや理想の白さについてもお気軽にご相談ください。

口腔内の検査とクリーニング
歯の表面の汚れや歯石、歯垢などは必要に応じてクリーニングいたします。

ホワイトニングの開始

治療終了

ホワイトニングに関するよくある質問一覧
Q
ホワイトニングは1回の治療で白くなりますか?
A
当院のスタンダードホワイトニング(オフィスホワイトニング)では、一度のご来院でもワントーンほどの効果・変化を実感できます。
ただし、さらに回数を重ねたり、ホームホワイトニングも併用しておこなうことで、より理想的な白さを実現できます。
Q
ホワイトニングに痛みはありますか?
A
一時的な疼痛・冷水痛が生じる可能性もありますが、ほとんど痛みはございません。
痛みが不安という患者さまはカウンセリングの際にお気軽におっしゃってください。
Q
ホワイトニング治療後に食事制限はありますか?
A
ホワイトニング後24時間はコーヒーや紅茶、チョコレート、カレーなど、色の濃い物については一部制限がございます。
治療後の着色を防ぐことで、治療の効果を最大限に得られます。
Q
ホワイトニングと同時に矯正治療は可能ですか?
A
矯正方法によっては可能です。
当院の治療であればセラミック治療やマウスピース矯正と一部併用できます。
セラミック治療についてはこちら»
マウスピース矯正についてはこちら»
Q
ホワイトニングと歯のクリーニングの違いは何ですか?
A
歯のクリーニングは、歯石や着色汚れを取り除き本来の歯の色に戻す処置です。一方、ホワイトニングは薬剤を使って歯自体を漂白し、もともとの色以上に白くする治療です。
Q
ホワイトニング治療のリスク・副作用はありますか?
A
施術後に歯がしみるなど知覚過敏の症状が出ることがありますが、ほとんどの場合は一時的です。症状が続く場合は早めにご相談ください。
Q
医療機関でしかできないホワイトニングは、ホワイトニング用歯磨き粉やセルフホワイトニングとどのような違いがありますか?
A
医療機関で行うホワイトニングは、薬剤の濃度が高く専門的な管理のもとでおこなうため、セルフホワイトニングや歯磨き粉に比べて短期間でしっかりとした効果を期待できます。
Q
ホワイトニングを受けられないケースはありますか?
A
虫歯や重度の歯周病がある場合、また妊娠中や授乳中の方はホワイトニングを受けられないことがあります。詳細はカウンセリング時にご確認ください。
ホワイトニングを受けられる
全国のクリニックはこちら
関東エリア

東京都新宿区西新宿7-10-1
O-GUARD SHINJUKU(オーガード新宿) 8階
・JR新宿駅西口 徒歩5分




































医療機関でおこなうホワイトニング治療では、歯は内側から漂白され、理想的な白さを実現することができます。 直近結婚式など大事なイベントがある、最近歯の黄ばみを指摘されて気になっているという方は、お気軽に当院までご相談ください。
まずはカウンセリングにて、医師・歯科衛生士が患者さまのご要望をお伺いいたします。
前田 純 医師