

- 施術名:ダイヤモンドオーダーセラミック
- 施術担当:加藤 由紀子 医師


- 施術名:ダイヤモンドオーダーセラミック
- 施術担当:伊藤 優 医師

【ご注意ください】 都内某所の歯科医院によるマウスピース矯正治療”実質無料”モニタートラブルが社会問題化しております。
湘南美容歯科では【高い技術力を持つドクターが科学的根拠に基づく治療】を行っております。
患者様おひとりおひとりが納得出来る最適な治療法を提案し、当院全体で長期的に治療完了に向けたサポートに邁進して参ります。
湘南美容歯科では【高い技術力を持つドクターが科学的根拠に基づく治療】を行っております。
患者様おひとりおひとりが納得出来る最適な治療法を提案し、当院全体で長期的に治療完了に向けたサポートに邁進して参ります。
湘南美容歯科が
選ばれる理由REASON
美しさを追求し続け生まれた
精密な湘南式美容歯科技術で叶える
白く自然な
"印象変わる"口元へ
削りすぎない精密な施術
痛みや不快感を抑えた快適な治療
顔全体のバランスを考えたデザイン

土日祝日診療
平日・土日祝日も19時まで営業しているため、
お仕事終わりにもお立ち寄り頂けます。
※一部の院では営業時間が
18時までの場合があります。ご確認ください。
丁寧な無料カウンセリング
お客様のご希望を伺いつつ、
最適な治療方法をご提案します。

痛みを抑えた治療
痛みを和らげる技術・設備を整えており、
患者様の痛みやご不安を軽減します。

感染対策と衛生管理
ご来院時の検温と消毒の実施、治療器具も徹底した
滅菌処理で管理をしています。

充実した医療設備
最適な治療計画を患者様に掲示し、
正確な治療を行う為にデジタル技術を駆使した
最新設備が整っています。

高品質を低価格で
お客様に身近な歯医者を目指して、
高品質かつ低価格な治療を心がけています。
診療科目CARE
インビザライン社より
症例数の表彰を受けました
当院は、世界共通の認定ランクの中でも
最上位の【レッドダイヤモンド】を
取得しております。


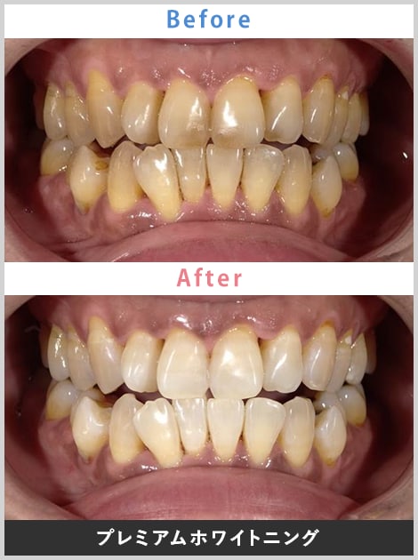
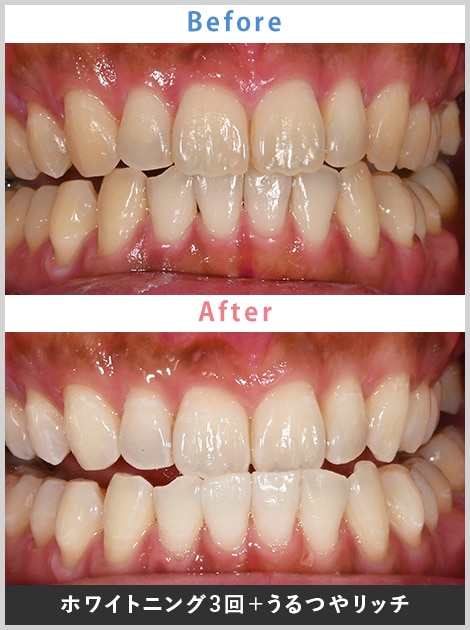
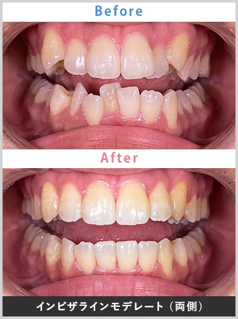
PHOTO症例写真
BEST SHOT AWARD※毎月更新
セラミックの
ベストショットはこちら
マウスピース矯正の
ベストショットはこちら
ご挨拶INTRODUCTION
私たちは、ただ単に美容歯科という治療を提供することを目的としておりません。医療というと専門用語が多く、個室で行われるため、一般の方にとっては非常に理解しづらい印象があると思います。我々は、「美容歯科をもっと身近に」を合言葉に治療内容、治療経過、カウンセリング内容をオープンにし、クリニック内の顔が見える運営を心がけると共に、美容歯科に携わるスタッフすべてが胸を張って仕事ができる環境を作ることを使命とし、技術向上、積極的な情報開示、社会貢献に取り組んでいます。

歯科統括院長
前田純歯科医師
SNS湘南美容歯科各院の
最新情報をお届けします。
最新情報をお届けします。
新宿院
池袋院
横浜院
大宮院
千葉院
名古屋院
心斎橋院
福岡院
仙台院
SPECIAL INFOイチオシ情報
全国9院展開中
湘南美容歯科 クリニック一覧
関東エリア
東京都

〒160-0023
東京都新宿区西新宿7-10-1
O-GUARD SHINJUKU(オーガード新宿) 8階
・JR新宿駅西口 徒歩5分
東京都新宿区西新宿7-10-1
O-GUARD SHINJUKU(オーガード新宿) 8階
・JR新宿駅西口 徒歩5分
0120-5489-08


















































