

※モニターには適応審査がございます。
また、モニターの取り扱いがない院もございますので、詳細についてはお電話または無料カウンセリングにてお問合せください。
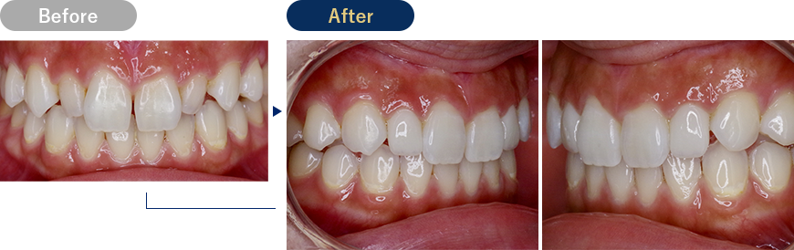
一般的なセラミック治療といえば、歯を削り、その上から被せ物(クラウン)を装着することで、歯の形や大きさ、すき間を整える方法が主流です。
しかしこの方法では、健康な歯を削る必要があり、 「一度削った歯は元に戻せない」 「万が一割れたときの修復が大変」 「白くしたいけれど、いかにも作り物のような見た目は避けたい」 といった不安の声も多く聞かれます。
そのため、関心はあっても治療に踏み切れない方が少なくありません。

近年、歯をできるだけ削らずに、色味や歯並びを整える治療として、歯の表面に付け爪のように貼り付ける「ラミネートベニア」が登場しました。これは、時代とともに高まる審美的ニーズに応える手法として注目されています。
しかし、より高い審美性を追求するうえで、従来のラミネートベニアには強度や透過性、必要な厚みといった課題が残されていました。
そこで当院では、歯科技工所と連携し、研究開発を重ねた結果、高硬度かつ高透過性を兼ね備えた歯科用ジルコニアの開発に成功。新たなコンセプトとして「NEOエナメル」を用いたセラミック治療をご提案いたします。
この「NEOエナメル」は、従来のラミネートベニアに比べて割れにくく、より薄く仕上げることが可能です。ご自身の歯になじみやすい自然な仕上がりでありながら、24色の中からご希望の色味に整えることができる、次世代のセラミック治療です。
健康な歯をできるだけ削らず、自然な美しさを実現する 次 世 代
セラミック治療

新開発素材 〜歯科技工所との共同研究によるオリジナル開発〜 「NEOエナメル」は、当院(SBC)が歯科技工所と連携して独自に開発した特別なジルコニア素材です。
これまでにない性能と審美性を両立した、まったく新しいラミネートベニアです。
高硬度でブリッジ治療にも対応 高い硬度と耐久性を持ち、シールのように薄いチップ状のジルコニアを歯の表面に貼り付けるイメージで装着します(※貼り直しはできません)。
従来のラミネートベニアでは対応が難しかった、欠損歯の補填を目的とした「ブリッジ治療」への応用も可能です。
卓越した審美性と自然な仕上がり 硬度の高さによって極めて薄く仕上げられるだけでなく、透過性にも優れており、まるで本物の歯のような自然な美しさを実現します。
24色のカラーバリエーションから選択可能で、ご希望の白さを細かく表現できます。
健康な歯をできるだけ削らない「次世代セラミック」 「NEOエナメル」は従来のラミネートベニアの特性を受け継ぎながら、さらに進化した素材です。
歯の表面をわずかに研磨するだけで装着できるため、健康な歯をほとんど削ることなく、整った美しい歯並びを実現します。
安心の3年保証つき 「薄すぎて割れないか不安…」という方もご安心ください。当院では、NEOエナメルに3年間の無料保証をお付けしています。
万が一のトラブルがあった場合にも、迅速にご対応いたしますので、安心してご相談ください。
こんな方におすすめ

通常セラミック治療のメンテナンスは
1年ほどで保証が無くなりますが、
本メニューはオリジナル開発のため3年間の保証付き。
何度も通院不要!最短2回の施術で叶う新・セラミック治療
セラミック
累計治療症例24万本突破
平日のみならず、土曜日・日曜日・祝日も19時まで営業しており診療受付中
| NEOエナメル | ダイヤモンドベニア | |
|---|---|---|
| 適応 | ![]() | ![]() (中心から数えて左右4番目まで) |
| 材料 | 高硬度・高透過性ジルコニア (独自開発) | ジルコニア |
| 特徴 | 従来型のジルコニアと比べて 高硬度で割れにくく 高透過性でより自然な仕上がり 硬度が高いので ブリッジ治療にも応用可能 | ポーセレンやガラス系よりも 硬く割れにくい(ジルコニア) マットな仕上がり |
| 価格 (1本あたり) | 通常価格150,000円 モニター価格130,000円 | 通常価格110,000円 モニター価格88,000円 |
| 保証 | 3年保証 | 1年保証 |

担当医:柿野 統史 医師

担当医:柿野 統史 医師
湘南美容歯科クリニック 9院全院が対象
※モニターには適応審査がございます。
また、モニターの取り扱いがない院もございますので、詳細についてはお電話または無料カウンセリングにてお問合せください。


歯科統括院長